MRI pregledi na 1,5T Siemens aparatu
BEZ ZRAČENJA, ČEKANJA, NA NAJBOLJIM SIEMENS APARATIMA!
Šta je to MR?
Magnetska rezonanca je suvremena, radiološka, dijagnostička metoda koja Vam pruža savršenu sliku cijelog organizma, detaljne slike organa, mišića, zglobova, krvnih žila i ostalih struktura Vašeg tijela. Nema štetnog jonizujućeg zračenja. Uređaj snage 3T daje najveći mogući komfor među aparatima, postiže najbolju rezoluciju i daje najmanji razlog za klaustrofobiju radi velikog “tunela” kojeg posjeduje. Ipak, ukoliko je potrebno, za odrasle i djecu, uz pomoć anesteziologa, omogućena je i sedacija čime će se pregled obaviti bez ikakve nelagode.
Kako izgleda pregled?
Pregled je bezbolan i neinvazivan, bez štetnih ionizirajućih zraka i zračenja. Radiološki inžinjer će Vas smjestiti na poseban ležaj aparata i sve namjestiti za Vaš pregled. Za vrijeme MRI pregleda nalazite se unutar uređaja. Aparat stvara ponavljajuće zvukove, zbog čega ćete dobiti posebne slušalice za uši koje prigušuju zvukove kako bi se ugodnije osjećali. Važno je biti maksimalno miran za vrijeme cijelog pregleda jer se pri micanju stvaraju artefakti i slika neće biti prikladna za analizu. Također je važno slijediti upute inžinjera tokom pregleda koji će postavit i specijalne zavojnice oko područja tijela koje ćete snimati. Pregled može trajati od 10-15min min do sat vremena, ovisno o tome koristi li se kontrast i koje se područje tijela snimate.
Priprema za pregled
Obavezno donesite svu medicinsku dokumentaciju koja se odnosi na pregled koji radite. Dobro bi bilo da pripremite nalaz uree I kreatinina radi eventualne aplikacije kontrasta. U slučaju da nemate nalaz uree i kreatinina moći ćete ga napraviti kod nas, u Poliklinici. Nosite udobnu odjeću, a metalne predmete kao što su nakit, novac, metali i ostale stvari ostavit ćete u prostoru namijenjenom presvlačenju. Uklonite slušna pomagala kao i zubne proteze.
Ako se snima MR abdomena ili žučnih vodova dobro je doći natašte, a dan ranije izbjegavati hranu koja nadima kao što su grah, grašak, mahune, zelje, mliječni proizvodi, svježe voće i povrće.
Ko ne smije raditi pregled magnetnom rezonancom?
Osobe koje ne smiju na MR su pacijenti sa ugrađenim pejsmejkerom (koji nisu kompatibilni s MR uređajem) ili defibrilatorom, sa kohlearnim implantatima, sa insulinskim pumpama ili sa cerebralnim aneurizmalnim klipsama; ukoliko imate fragmente željeza, gelere ili proteze od feromagnetnih materijala. Ako su potrebne dodatne upute dobit će te ih prilikom naručivanja. Ukoliko ste alergični , obavijestite tehničara. Trudnicama u prva tri mjeseca trudnoće se ne savjetuje pregled, ukoliko dojite i dobijete kontrastno sredstvo savjetuje se pauza od dojenja od 24h.
Šta se sve snima sa MR
- MR mozga
- MR krvnih sudova mozga-MRA (magnetska angiografija)
- MR sinusa
- MR hipofize
- MR orbita
- MR kičme-sva tri segmenta, pojedinačno ili zajedno
- MR srca
- MR zdjelice mekih tkiva –maternica, jajnici, cerviks , rectum, mokraćni mjehur
- MR prostate
- MR fistulografija
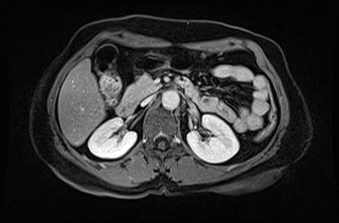
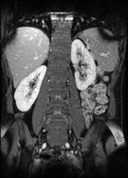
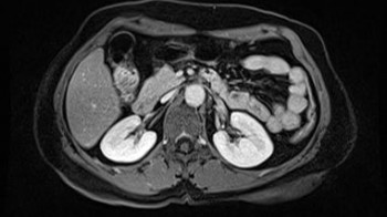
- MR abdomena-jetra, bilijarni trakt, bubrezi, nadbubrezi, slezena, pankreas
- MR tankog crijeva-MR enterografija
- MR debelog crijeva-MR kolonografija
- MR urografija
- MR bilijarnog trakta-žuči i žučnih vodova-MRCP
- MR dojki
- MR zglobova- koljena, ramena, MR lakta, MR stopala, MR šake, MR sakroilijakalnih zglobova
- MR zdjelice s kukovima
- MR toraksa-grudnog koša
- MR cijelog tijela
Vaskularni program (angiografije)
- MR angiografija glave
- MR venografija glave
- MR angiografija kičmene mozdine
- MR angiografija karotidnih arterija
- MR venografija vrata
- MR aortografija torakalne aorte
- MR aortografija abdominalne aorte
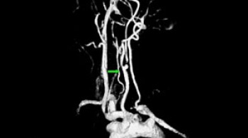
- MR angiografija perifernih krvnih sudova
IZDVAJAMO
Šta je magnetska rezonanca srca?
Magnetska rezonanca (MR) srca je pregled kojim se dobiva najdetaljniji slikovni prikaz Vašeg srca uz mogućnost analize njegove funkcije bez primjene jonizujućeg zračenja. MR pregled srca koristi se za dijagnosticiranje funkcije srčanih komora, srčanih zalistaka i protoka krvi kroz glavne žile i okolnih struktura kao što je perikard, kardiomiopatija (bolesti srčanog mišića koja otežava vašem srcu da pumpa krv u ostatak tijela tj. bolesti srčanog mišića koji uzrokuje povećanje srčanog mišića, debljinu, ožiljke ), prirođenih srčanih bolesti (defekti u srcu koji se javljaju kao razvojni poremećaj), procjenu anatomije srca i krvnih žila u djece i odraslih s urođenim srčanim bolestima, procjenu učinaka koronarne arterijske bolesti (ograničeni protok krvi u srčani mišić i ožiljci unutar srčanog mišića nakon srčanog infarkta te zahvaćenost srčanog zida), aneurizme (proširenje i slabljenje dijela srčanog mišića ili aorte), bolest srčanih zalistaka, tumor srca, procjenu tromboze, infekcije, procjenu učinaka hirurških promjena, planiranje liječenja kardiovaskularnih poremećaja. Nemojte zaboraviti, pacijenti sa pace makerom ne smiju raditi pregled magnetskom reznancom.
Napominjemo da je za analizu srčanih krvnih žila bolje napraviti MSCT koronarografiju-u našoj Poliklinici na raspolaganju je najsuvremeniji 160 MSCT apparat sa najmodernijim softverom za analizu stentova, bajpasa i samih koronarnih krvnih žila.
MR Pregled može uključivati ubrizgavanje kontrastnog sredstva tokom skeniranja.
Na pregled ponesite svu medicinsku dokumentaciju vezanu za srce.
Šta je to i kada se savjetuje MR pregled dojke-izvrsna kod gustih dojki I žena sa povećanim rizikom?
Sa MR pregledom dojke dobija se najdetaljnija slika žljezdanog parenhima. Ovaj pregled zahtijeva obaveznu aplikaciju kontrastnog sredstva.
Koristi se kod skrininga žena sa visokim rizikom za rak dojke, za pregled dojke gustoga žljezdanog parenhima, za procjenu proširenosti karcinoma, za analizu nejasnih lezija u dojci, za procjenu stanja implantata I njihove rupture.
Na pregled donesite kompletnu medicinsku dokumentaciju vezano za dojke, pregled planirajte iza ciklusa-7-17.dan menstrualnog ciklusa, ne koristite dezodoranse , pudere, parfeme u području grudi I pazuha na dan pregleda.
Šta su to MR enterografija i MR kolonografija-izvrsna skrining metoda pregled crijeva?
MR enterografija je pregled kojim se analiza tanko crijevo, a MR kolonografija je pregled debelog crijeva. Pregled tankog crijeva se obično koristi za praćenje ili otkrivanje upalnih i drugih bolesti tankog crijeva, a pregled debelog crijeva za brojne bolesti uključujući tumore debelog crijeva. Metoda je potpuno bezbolna, bez zračenja, sa izvrsnim prikazom zida probavne cijevi. Nema napuhivanja niti štetnog jonizujućeg zračenja kao kod CT pregleda crijeva. Za pregled , crijeva moraju biti očišćena-kao kod klasične kolonoskopije, a prije pregleda bilo tankog ili debelog , ćete dobiti oko 1,5l posebne tečnosti koju ćete popiti da bi se zid crijeva razdvojio I analiza bila bolja. Tečnost se pije oko 20-30min, nakon čega počinje pregled koji traje oko 20-30 minuta, uobičajeno je da se kontrastno sredstvo aplicira. –pregled tankog i debelog crijeva u jednom aktu - 500km.
Šta je magnetska rezonanca koljena?
Magnetska rezonancija (MR) koljena je pregled kojim se dijagnosticiraju promjene kosti, ligamenata, meniskusa, mišića i drugih struktura koljena koje je detaljnije od drugih metoda snimanja. Koristi se kod degenerativnih oboljenja,, oteknuća-nakupljanja vode, infekcije koljena, tumora, ozljeda. MR koristi magnetno polje kako bi se dobili detaljni presijeci kroz područje prilikom snimanja i ne koristi ionizirajuće zračenje.
MR pregled hipofize
Magnetska rezonanca (MR) hipofize je pregled kojim se dobiva najdetaljniji slikovni pregled hipofize. Pregled zahtijeva aplikaciju kontrastnog sredstva. Metoda izbora je MR na aparatu snage 3T.
MRI kičme, u dijagnozi bolova u vratu i leđima
Kod bolova u vratu i leđima, MRI je najbolja dijagnostička metoda! Jako dobro se vide: anomalije, povrede, upalna stanja, tumorski procesi, cistične promjene kičmenog stuba. Pregled jednog, dva ili tri segmenta.
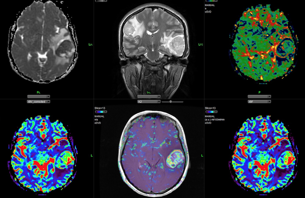
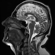
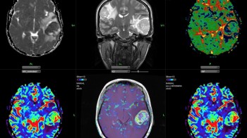
MRI mozga / glavobolje, upale , tumori, drugo
MRI pregled mozga je najbolja metoda za analizu mozga, njegove bijele I sive mase, bilo da se radi o upalnim, tumorskim, autoimunim ili drugim stanjima. Nema štetnog jonizujućeg zračenja a nezamjenjiva je metoda za dijagnostiku sekundarnih glavobolja, odnosno oboljenja koja uzrokuju glavobolje. Zajedno sa MRA-magnetnom angiografijom-pregledom krvnih žila mozga- dobija se vrhunsko slikovno stanje endokranijuma.
Posebna ponuda
-MR sva tri segmenta kičme-vratna, grudna i donji-leđni dio-500KM na 1,5T
-MR pregled srca-500-700KM, zavisno od problematike pregleda
-MR pregled tankog i debelog crijeva-500KM
-MR oba koljena 500 KM
-MR grudnog koša-toraksa na aparatu 1,5T- 300KM-preporučeno za skrining-pušači, pozitivna porodična anamneza
-MR whole body-cijelo tijelo na aparatu 1,5T-mozak, sva tri segmenta kičme, grudni koš, abdomen, mala zdjelica ( sa osvrtom na prostatu/ženske organe) 1200KM