Slika usluga

Radiologija

CT (MSCT)

Koronarna CT angiografija

Kardiovaskularne bolesti su ubica broj jedan u današnjem svijetu i odnose svake godine više života nego sve maligne bolesti zajedno. Koronarna bolest je najčešće uzrokovana aterosklerozom (stvaranjem plakova u zidu krvnih žila uzrokojući njihvo suženje). Donedavno, nije postojao neinvazivni način da se direktno analiziraju koronarne arterije na prisustvo aterosklerotskih promjena. Razvoj tehnologije višeslojnog CT-a (MSCT/MDCT) omogućio je detaljno trodimenzionalno prikazivanje kucajućeg srca u toku jednog zadržavanja daha. U našem dijagnostičkom centru nudimo ovu tehniku pregleda koronarnih arterija, na multi-slice aparatu, s najmodernijim softverom i minimalnom dozom zračenja.

Šta je CT koronarografija?

To je metoda prikaza malih arterija koje hrane  srčani mišić, upotrebom CT skenera, koji prikazuje protok krvi u koronarnim arterijama i kompjuterskog softvera da bi se dobio odgovarajući trodimenzionalni prikaz. CT angiografija je neinvazivni način da se prikažu zidovi koronarnih arterija I nadju eventualni aterosklerotski plakovi, što pomaže liječniku u odredjivanju rizika srčanog udara.  

Kome je potrebna CT koronarografija?

Od CT angiografije najviše koristi imaju pacijenti sa:

suspektnom koronarnom bolesti,  umjerenim do visokim rizikom ali s atipičnim anginoznim simptomima  neodredjenim rezultatom ergometrije ili drugog stress testa  koji nisu u mogućnosti da urade stress-test  neuobičajenim simptomim koronarne bolesti ali niskog do umjerenog rizika.  kompleksnim urodjenim srčanim manama uključujući koronarne anomalije, anomalije velikih krvnih žila, srčanih šupljina i zalistaka.  s akutnim bolom u grudima, niskim do umjerenim rizikom koronarne bolesti, bez promjena na EKG-u i negativnim biohumoralnim sindromom  evaluacija koronarnog statusa kod pacijenata s nedavnim početkom popuštanja srca nejasne etiologije  neinvazivni maping koronarnog stabla uključujući arterije mamarije interne prije ponavljanja hirurške revaskularizacije

Kako se pripremiti za pregled? 

prestati jesti i piti 4h prije pregleda prestati konzumirati pića koja sadrže kofein dan prije pregleda prestati pušiti dan prije pregleda svu svoju redovnu terapiju popiti redovno ili se telefonsko konsultovati s liječnikom oko istog 

Šta mogu očekivati? 

Pregled traje 15-ak minuta, iza toga ostaćete još 15-30min radi observacije, te dogovoriti termin za razgovor s doktorom oko rezultata testa, daljeg liječenja ili dodatnog testiranja.

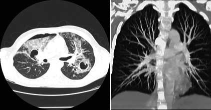
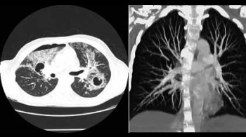
CT screening (rano otkrivanje) karcinoma pluća

Karcinom pluća je najčešći karcinom kod muškaraca,  pa se ranom otkrivanju te bolesti pridaje velika važnost. Uvođenje višeslojnog CT-a (MSCT) u kliničku praksu omogućilo je i screening (rano otkrivanje) karcinoma pluća. Pregled je namijenjen onima koji su visokog rizika za karcinom pluća i omogućava otkrivanje izrazito malih čvorova u plućima, koji mogu biti prisutni, a da nisu vidljivi na standardnom rtg snimku pluća. Rano otkrivanje ovih promjena može dramatično poboljšati uspješnost liječenja karcinoma pluća. 

Kome je potrebno ovo snimanje?

CT screening pluća se preporučuje uraditi pušačima starijim od 60g, a čiji pakovanje-godine index je veći od 10 (pakovanje-godine index se dobije tako što se pomnoži broj godina pušenja sa brojem kutija cigareta koje se ispuše svaki dan: preko 80% karcinoma pluća se dijagnostikuje u ljudi starijih od 60g). Drugi kandidati za pregled su pacijenti starosti 50-60g, koji imaju pakovanje-godine index 20-30 ili s drugim riziko-faktorima kao što je izlaganje azbestu ili hronična opstruktivna bolest pluća.

Šta mogu očekivati od rezultata testa?

Ako je screening CT uredan dalje ispitivanje nije potrebno.

Ako se nađe čvor u plućima, može biti potrebno uraditi detaljniji-dijagnostički CT pluća, s kontrastom. Često se za čvorove koji su nadjeni pri preventivnom pregledu ispostavi da su granulomi ili ožiljci kada se uradi detaljniji/dijagnostički CT pluca ili se radi o čvorovima benignih karakteristika, koji se potom prate u određjenim periodima da bi se bilo sigurno da se radi o zaista benignoj promjeni.

CT-kolonografija

Karcinom kolona (debelog crijeva) je drugi po  učestalosti međju karcinomima kod muškaraca (iza karcinoma pluća) te treći po učestalosti kod žena (iza karcinoma dojke i cerviksa) i najsigurniji nacin rane detekcije jeste uraditi kolonoskopiju. Osim klasične endoskopske metode, danas imamo na raspolaganju i mogućnost CT kolonoskopije, koja je puno jednostavnija i za pacijenta komfornija, a po rezultatima nalaza komparabilna s klasičnom kolonoskopijom.  U 22 američke savezne države kolonoskopija je pregled koji ide na teret fonda zdravstvenog osiguranja.

Šta je CT kolonografija?

CT kolonografija ili virtualna kolonoskopija je procedura koja koristi viseslojni CT za pregled debelog crijeva na prisustvo karcinoma ili prekanceroznih polipa. Njome se mogu otkriti tumori, polipi, krvarenje, upalne bolesti crijeva te divertikuloza.

Kome je potrebna?

Iza 40-te godine života svi, dakle i pacijenti koji nemaju nikakvih tegoba bi trebali uraditi kolonoskopiju svakih 10g ukoliko je nalaz uredan te bez obzira na godine svi koji imaju određenih probavnih problema (krv u stolici, nadimanje, zatvor, prolivi, nejasni bolovi u trbuhu). Kao i kod drugih karcinoma, uspješnost liječenja ovisi od raširenosti bolesti u momentu kada je otkrivena-što se ranije otkrije uspješnost je veća! Na žalost, mnogi izbjegavaju uraditi kolonoskopiju zbog same tehnike i neugodnosti pregleda. Za razliku od endoskopske kolonoskopije, virtualna kolonoskopija ne zahtijeva sedaciju, jer je minimalno neugodna za pacijenta i odmah nakon pregleda možete se vratiti vašem redovnom poslu.Virtualna kolonoskopija eliminira mogućnost perforacije debelog crijeva i omogućava detekciju izuzetno malih polipa (3mm).

Priprema i postupak

Kao i za klasičnu endoskopsku kolonoskopiju dan prije potrebno je čišćnje crijeva tečnom dijetom i uzimanjem laksativa da bi se omogućilo prikazivanje tkiva. Sam pregled traje 15-ak minuta. U toku pregleda uvodi se tanka elastična cjevčica u završni dio debelog crijeva kojom se uvodi gas, koji rasteže vijuge crijeva i omogućava dobar prikaz eventualnih promjena. Tokom pregleda snimanje se vrši jednom na leđima, jednom na stomaku, traje vrlo kratko. Nakon završetka snimanja s liječnikom ćete dogovoriti termin kada ćete dobiti rezultate pregleda.